Depo-Provera lawsuits are claims for compensation by patients diagnosed with meningioma after taking the hormonal birth control injection. We allege that the manufacturer, Pfizer, failed to warn doctors and patients that the drug could cause brain tumors.
Shouse Law Group represents Depo-Provera victims throughout the United States. Our lawyers are demanding that the company compensate our clients for medical bills, lost earnings, and pain and suffering.
This is not a class action. Our Depo-Provera lawyers bring each claim individually. However, in 2025 the lawsuits are joined multidistrict litigation (MDL). This speeds up the negotiation and settlement process.
You may qualify to join our Depo-Provera litigation if you meet the following two conditions:
- You received at least four consecutive shots of Depo-Provera, Depo-SubQ Provera, or an authorized generic made by either:
- Pharmacia & Upjohn Company LLC,
- Greenstone LLC,
- A-S Medication Solutions,
- Prasco Laboratories, or P
- Preferred Pharmaceuticals Inc.; and
- You were then diagnosed with meningioma or a benign brain tumor.
The statute of limitations to file a claim is short. In most states, it is only a year or two. Therefore, victims should consult a Depo-Provera lawsuit lawyer right away.

In this article, our mass tort attorneys will address the following critical topics about Depo-Provera lawsuits:
- 1. Grounds for Lawsuit
- 2. Current Litigation
- 3. Compensation
- 4. Drug-Tumor Link
- 5. Meningiomas
- 6. Depo-Provera History and Uses
- 7. Hiring an Attorney
1. Grounds for Lawsuit
The main claim in Depo-Provera lawsuits is “failure to warn.”
We allege that Pfizer knew – or should have known – about the risk of meningiomas. We also allege that Pfizer did not include – or properly emphasize – these risks on the drug’s label or in its marketing materials.
For you to win a failure to warn lawsuit, the court must find that this failure directly led to your injuries.1

A major study indicates there may be a link between Depo-Provera and the development of meningiomas.
2. Current Litigation
Our Depo-Provera cases get consolidated into one multi-district litigation (MDL) before a single judge. Each case remains separate, but the pretrial processes are centralized to make litigation more efficient.
The Depo-Provera MDL number is 3140, it is out of the Northern District of Florida, and the judge is M. Casey Rodgers. As of 2026, there are nearly 1,470 cases in the MDL. Many more are expected.2
In a year or so we expect three to five individual cases to go to trial. The outcomes of these “bellwether trials” will help determine how the remaining cases will be settled. The first bellwether trial is currently targeted for December 2026

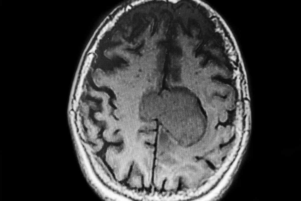
MRIs are a diagnostic tool for detecting brain tumors.
3. Compensation
Every Depo-Provera case is different, and the size of settlements turns on the individual meningioma victim’s:
- injuries,
- medical costs,
- lost wages and lost earning potential, and
- pain and suffering.
Depending on the case, we expect settlements to range from the five-to-seven figures.

Many women prefer Depo-Provera to the birth control pill out of convenience.
4. Drug-Tumor Link
A major 2024 study published in the prestigious British Medical Journal (BMJ) found that prolonged use of certain progestogens, including medroxyprogesterone (the active drug in Depo-Provera), is associated with a significantly higher risk of developing meningiomas.
Also, data from the FDA’s Adverse Event Reporting System (FAERS) suggests a potential link between meningioma and medroxyprogesterone. In the period from November 2000 to June 2024, there were 46 reports of meningioma where medroxyprogesterone was identified as a primary or secondary suspect drug.
In addition, the database contained reports of other brain and central nervous system tumors linked to the drug.
In December of 2025, the FDA approved a label update for Depo-Provera which now includes a warning about the risk of meningiomas.3

Meningiomas can have devastating symptoms.
5. Meningiomas
A meningioma is a type of tumor that originates in the meninges—the protective membranes that cover your brain and spinal cord within the central nervous system. It is the most frequently diagnosed type of tumor that forms in the head.
Meningioma is not technically a “brain tumor” because it does not grow from brain tissue. However, it can cause serious harm by pressing on the adjacent brain, nerves, and critical blood vessels.
Meningiomas are classified into three grades:
- Grade I: These benign, low-grade tumors are the most common. They grow very slowly and are considered the least aggressive.
- Grade II (Atypical): These mid-grade tumors are more aggressive and have a higher probability of returning even after being surgically removed. Subtypes include clear cell and chordoid meningiomas.
- Grade III (Anaplastic): These are malignant (cancerous) tumors. They are the most aggressive form, characterized by their rapid growth. Papillary and rhabdoid meningiomas are subtypes of Grade III tumors.
While these tumors can affect anyone, they are most often diagnosed in women and older adults.
Symptoms
Patients with meningiomas, even long-term survivors, often struggle with:
- Constant headaches,
- Chronic fatigue,
- Vision problems,
- Cognitive difficulties (such as memory loss or confusion),
- Seizures or epilepsy,
- Impaired motor skills and movement,
- Speech difficulties, and/or
- Depression and anxiety.
Cognitive issues can even persist after a tumor is surgically removed. Furthermore, post-surgery patients may face a greater risk of stroke and mortality related to the tumor.
Treatments
For malignant meningiomas that are operable, surgery is typically the first course of action. Most patients with Grade II or Grade III meningiomas require additional (adjuvant) treatments, such as radiation, chemotherapy, or enrollment in clinical trials.
Surgical treatment, while often necessary, carries its own risks, such as infection, hematoma (bleeding), neurological damage, and in some cases, death. For inoperable meningiomas, doctors may recommend alternative treatments like proton beam therapy to target the tumor with precision.4

Surgery is often a necessary treatment for brain tumors.
6. Depo-Provera History and Uses
In 1992, the FDA approved Depo-Provera as a hormonal injection for contraception. Generics started to become available since 2004.
To prevent pregnancy, women receive an injection every three months. The drug both prevents ovulation and thickens cervical mucus.
In addition, doctors also prescribe Depo-Provera for:
- abnormal uterine bleeding,
- endometriosis, and
- some cancers.
As of yet, Depo-Provera has not been recalled.5

Depo-Provera remains on the market.
7. Hiring an Attorney
Navigating a lawsuit against a major pharmaceutical corporation like Pfizer is complex and daunting. Experienced counsel is essential to protect your rights and fight for the maximum compensation available under the law. Here is how we can help:
- Provide a Free Case Evaluation: We will listen to your story, review your medical history, and advise you on the strength of your claim at no cost to you.
- Investigate Your Claim Thoroughly: We will gather all necessary evidence, including medical records, and consult with medical experts to link your injuries to Depo-Provera.
- Handle All Complexities: We will manage all paperwork, court filings, and communications with the defense, ensuring all deadlines are met.
- Calculate Your Full Damages: We will work to identify all your losses, including past and future medical bills, lost wages, and compensation for your pain and suffering.
- Negotiate for a Maximum Settlement: Our attorneys are skilled negotiators who will aggressively pursue the most favorable settlement available on your behalf.
If you believe you have been harmed by Depo-Provera, do not wait to contact us. Your time to file a claim is limited.
Legal References
- See, for example, CACI 1205.
- Depo-Provera (Depot Medroxyprogesterone Acetate) Products Liability Litigation, Master Docket No. 3:25md3140, United States District Court, Northern District of Florida.
- Noémie Roland et al., Use of progestogens and the risk of intracranial meningioma: national case-control study, BMJ 2024;384:e078078 (March 27, 2024) (“Prolonged use of medrogestone, medroxyprogesterone acetate, and promegestone was found to be associated with an increased risk of meningioma. Future studies should further clarify the association between the duration of use and risk for the progestogens studied, and extend the discussion of meningioma risk to dienogest and hydroxyprogesterone.”). Hormonal Meds for Birth Control, Menopause Linked to Brain Tumors, US News (March 28, 2024). Abigail Brooks and Zinhle Essamuah, FDA approves label change for Depo-Provera, adding brain tumor warning, NBC (December 16, 2025).
- Meningioma: Diagnosis and Treatment, National Cancer Institute. Meningioma, Mayo Clinic.
- Same. FFDA gives final approval to Depo amid concerns over safety, cost and coercion, Wash Memo Alan Guttmacher Inst. 1992 Nov 12;(17):2-3. PMID: 12344620.